小児矯正
- TOP
- 小児矯正
お子さまのお口の中のこと
こんなお悩みは
ありませんか?

- 前歯がガタガタしてきた
- すき間が多い、噛み合わせが不自然
- お口がぽかんと開いていることが多い
- 口呼吸が多い、いびきをかく
- 指しゃぶりや舌で前歯を押す癖がある
- 食べるのが遅い、噛みにくそう
- 滑舌が気になる
- 顎が小さいように見える
こうした様子は、あごの成長や歯並びに影響が出始めているサインかもしれません。
用賀の歯医者「SBS歯科・矯正歯科」では、小児矯正の診療経験が豊富な歯科医師が在籍し、お子さま一人ひとりのお口の状態を丁寧に確認しています。
「矯正が必要なのか分からない」「いつから始めるべき?」といったお悩みも、お気軽にご相談ください。
小児矯正のメリット
抜歯リスクの軽減

小児矯正では、成長期のあごの発育と共にバランスを整え、永久歯が正しく並ぶための十分なスペースを確保します。あごが小さいことで将来抜歯が必要になるケースも、早期に対応することで抜歯のリスクを抑えられます。
本格的な矯正歯科治療の
負担を減らせる

子どものうちにあごの土台を整えておくことで、永久歯が良い位置に生えやすくなります。結果として、大人になってからの本格矯正で歯を大きく動かす必要が少なくなり、治療期間の短縮や費用、痛みの負担軽減につながります。
正しい骨格の成長を促し
噛み合わせを整えられる

大人になってからでは改善が難しい骨格的な問題も、成長期であれば自然な発育を利用して調整できる場合があります。将来の噛み合わせの安定につながる点も、小児矯正の大きな特長です。
美しい顔立ち・
フェイスラインへ導ける

あごの成長をコントロールすることで、横顔のラインやお顔全体の印象にも良い影響が期待できます。口元がすっきりしたり、輪郭が整ったりと、顎の発育を利用できる時期だからこそ配慮できるポイントです。
口呼吸・口ゴボの
予防につながる

あごの成長が不十分だと気道が狭くなり、口呼吸やいびき、歯並びの乱れにつながることがあります。
小児矯正では、気道スペースの確保を促すことで鼻呼吸をしやすくし、口呼吸の予防にも役立ちます。結果として、口元が前に出る口ゴボの予防にもつながり、呼吸、姿勢、顔貌のバランス改善まで期待できます。
発音・咀嚼など
機能面の発達をサポート

前歯を舌で押す癖や口呼吸、指しゃぶりなどの習慣は、発音や噛む力の発達にも影響します。
小児矯正では、歯並びだけでなくこうした癖の改善も重視し、唇、舌、頬などの筋肉が正しく働くようにお手伝いします。噛む、飲み込む、話すといった普段の機能が整い、お子さまの健やかな成長につながる点も大きなメリットです。
乳歯が生えそろう頃が
相談時期の目安です

小児矯正は早ければ早いほど良いというものではありませんが、乳歯が生え揃う時期は歯並びのチェックに最適なタイミングです。
当院では、あごの成長や永久歯のスペース、噛み合わせのバランスを総合的に確認します。この段階で問題がなく経過観察で十分な場合も多く、無駄な治療を避けることができます。一方で、早めに介入すべき兆候がある場合には、最適な治療開始時期を見極めることが可能です。
まずは一度ご相談ください。お子さまの将来の歯並び・健康にとって最善のタイミングをお伝えいたします。
通いやすさと
将来を見据えた
安心の料金設計

当院では、お子さまの将来の健康を守るために、無理なく始められる料金設定を採用しています。
小児矯正(Ⅰ期治療)と大人の本格矯正(Ⅱ期治療)をセットで受けていただく場合、治療計画を一貫して行えるためトータル費用が抑えられる仕組みをご用意しています。
また、検査、診断を通して今本当に治療が必要なのかを明確にし、経過観察で十分な場合には無理に治療をすすめることはありません。必要なタイミングで、必要な治療だけを行うことを大切にしています。
矯正治療は将来の健康への投資でもあります。費用を理由に矯正を諦めてしまうことがないよう、保護者の方が選びやすく、安心して通える料金体系を整えていますので、お子さまの歯並びについて気になることがあれば、どうぞお気軽にご相談ください。
当院の取り扱い
小児矯正装置
床矯正

取り外し可能な装置を用いて、あごの成長をサポートし、永久歯のスペースを確保します。抜歯を行わず、比較的負担の少ない治療法です。
プレオルソ

上下一体型のマウスピース矯正装置を使ってあごを広げる治療法です。装着時間が限られており取り外し可能なので、日常生活への影響が少ない点が特長です。
マウスピース矯正

マウスピース型の矯正装置を使い、歯を少しずつ丁寧に動かして整える治療法です。装置は薄く透明で目立たず、取り外しも可能なので、食事やブラッシングは普段通り行えます。歯を細かくじっくり動かすため痛みや違和感も少ないです。
ワイヤー矯正
(表側矯正)

歯の表面にブラケットを装着し、ワイヤーを通して歯を動かす矯正治療です。装置が目立ったり、歯が動く際に痛みを感じることがありますが、その分ワイヤーの力で歯を大きく動かせるため、乱れた歯並びも整えやすいのが特徴です。
定期検診と併せて
最適な開始時期を
見極めます

すぐに矯正治療が必要でないケースは、定期検診でお口の成長を継続的に確認することで、最適なタイミングで治療を始められます。
成長の変化はお子さまによってさまざまで、治療が必要な時期も異なります。定期的に通院していただくことで、「今は経過観察で良いのか」「そろそろ治療を始めるべきか」を明確に判断でき、最適な治療計画を立てることができます。
大切なお子さまの成長を、ご家族と一緒に見守りながら進める方針を大切にしています。
症例紹介
小児矯正症例
- 症例について詳しく見る
-
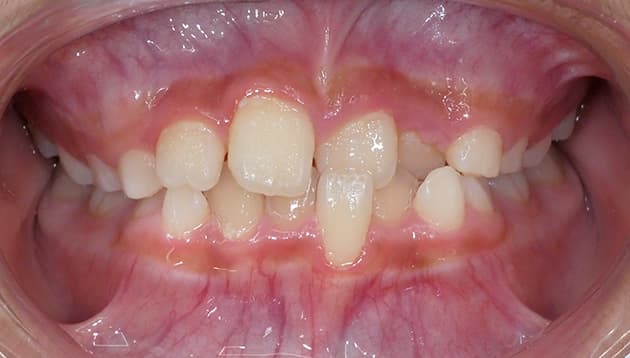
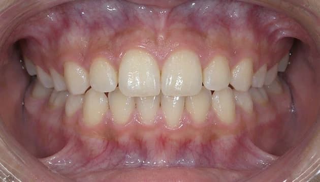
症例名 小児矯正/前歯のガタガタ、交叉咬合の治療 患者さまの主訴 前歯がガタガタに生えてきた、下の前歯が飛び出てしまっている 治療内容 上下拡大床治療後、2×4ワイヤー矯正 患者さまの年齢 8歳 患者さまの性別 男性 治療期間 2年4ヶ月 治療にかかった総額 33万円(税込) 治療する際に起こるメリット 治療により、見た目の改善、噛み合わせ・咀嚼機能の改善、清掃性向上(虫歯・歯周病リスク低下につながる場合)などが期待できます。
※効果には個人差があります。治療する際に起こるリスク・副作用 治療には、疼痛・違和感、虫歯/歯周病リスク、後戻り(矯正)、歯肉退縮などの可能性があります。



